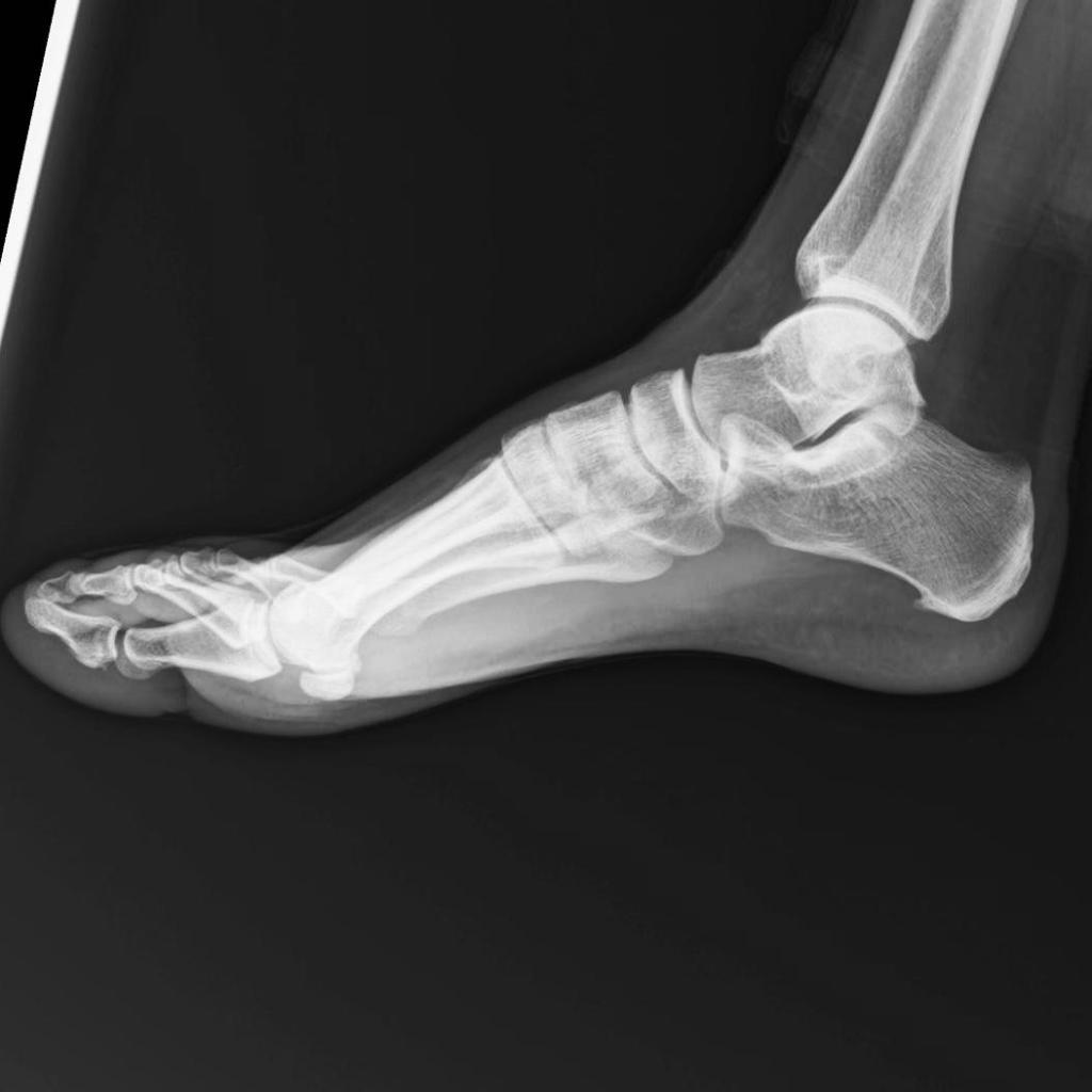
Ayer recibí los resultados de las placas que me hice en ambos pies… y para sorpresa de nadie, tengo espolón calcáneo en el pie izquierdo.

Y digo “para sorpresa de nadie” porque llevo más de un año y medio con dolor en la planta del pie, especialmente en el talón. Y, siendo muy honesta, hice exactamente lo que me prometí que no iba a hacer: lo ignoré.
Lo prolongué.
Me dije que era cansancio, que era algo muscular, que se me iba a pasar. Nunca pensé que podía llegar a algo más. Pero la fascitis plantar se volvió crónica… y aquí estamos.
Una parte de mí siente enojo.
Enojo por no haber actuado a tiempo, por no haberle puesto atención antes. Y sí, también un poco de culpa… por terquedad, por ignorancia, por dejarlo pasar.
Pero al mismo tiempo, también siento miedo.
Me gusta caminar. Me gusta hacer hiking. Es algo que disfruto mucho… y no puedo evitar preguntarme si esto me va a limitar de alguna forma.
Aunque, siendo honesta, también hay una parte de mí que confía en que no tiene por qué ser así.

Confío en que, si soy disciplinada y constante, voy a poder manejarlo.
Que puedo aprender a vivir con esto, a cuidarlo, a trabajarlo… y seguir haciendo las cosas que me gustan, aunque tal vez de una forma diferente, más consciente.
Todavía me falta tener la cita con el fisioterapeuta, pero por lo que he podido investigar, esto implica cambios.
Masajes, estiramientos diarios, fortalecer los músculos del pie… probablemente usar plantillas. En general, aprender a cuidar algo que antes simplemente daba por sentado.
Y supongo que de eso también se trata todo esto.
De prestar atención antes.
De no esperar a que el cuerpo llegue al límite para reaccionar.
Y aunque hay enojo, y miedo… también hay algo que no esperaba sentir:
Alivio.
Porque después de tantos meses de no saber, de asumir, de postergar… finalmente tengo una respuesta. Y con eso, también tengo un punto de partida.
No sé exactamente qué siento en este momento.
Es como una mezcla rara entre vacío, culpa… y aceptación.
Pero también sé que esto se puede trabajar.
Que hay cosas peores.
Que hay otras áreas de mi salud que hoy me preocupan más.
Y que esto… esto es algo a lo que le puedo dedicar tiempo, atención y consistencia.
Algo que puedo aprender a manejar.
Y seguir adelante.
Supongo que, por ahora… eso es suficiente.
Yesterday I received the results from the X-rays I had done on both of my feet… and, to no one’s surprise, I have a heel spur in my left foot.
And I say “to no one’s surprise” because I’ve been dealing with pain in the sole of my foot, especially my heel, for over a year and a half now. And, being completely honest, I did exactly what I told myself I wouldn’t do: I ignored it.
I let it go on for too long.
I told myself it was just fatigue, something muscular, something that would eventually go away. I never thought it could turn into something more. But my plantar fasciitis became chronic… and here we are.
Part of me feels angry.
Angry for not doing something sooner, for not paying attention earlier. And yes, there’s also some guilt… for being stubborn, for not knowing better, for letting it get to this point.
But at the same time, I also feel fear.
I love walking. I love hiking. It’s something I genuinely enjoy… and I can’t help but wonder if this is going to limit me in any way.
And yet, if I’m honest, there’s also a part of me that believes it doesn’t have to.
I believe that if I stay disciplined and consistent, I’ll be able to manage it.
That I can learn to live with this, take care of it, work with it… and still do the things I love, maybe just in a different, more intentional way.
I still have to see a physical therapist, but from what I’ve been able to look into, this will require changes.
Massages, daily stretching, strengthening the muscles in my feet… probably using orthotics. In general, learning to take care of something I used to take for granted.
And I guess that’s part of this too.
Learning to pay attention sooner.
Not waiting until my body reaches its limit to react.
And even though there’s anger, and fear… there’s also something I didn’t expect to feel:
Relief.
Because after so many months of not knowing, of assuming, of postponing… I finally have an answer. And with that, I also have a starting point.
I don’t fully know how I feel right now.
It’s a strange mix of emptiness, guilt… and acceptance.
But I also know this is something I can work on.
That there are worse things.
That there are other areas of my health that worry me more right now.
And that this… this is something I can give time, attention, and consistency to.
Something I can learn to manage.
And keep moving forward.
I guess, for now… that’s enough.
Deja un comentario